Patientfall

1 Ojämn tandrad

2 Missfärgade tänder

3 Implantat och broar

4 Glesa tänder

5 Ojämna tänder

6 Ojämna framtänder

7 Skadade tänder

8 Invisalign - Tandreglering

9 Composite

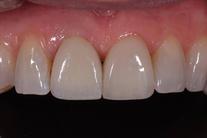
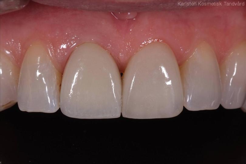
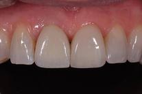
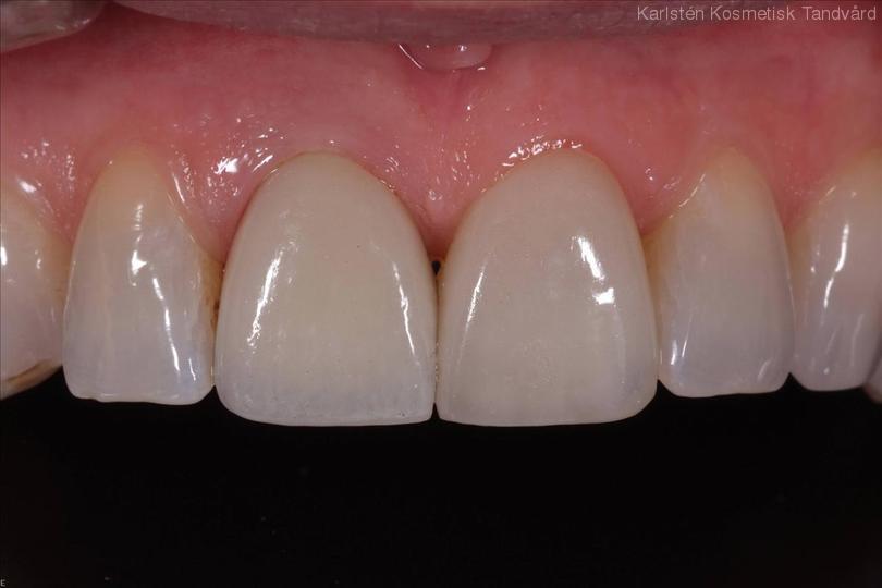
Missfärgade framtänder 2

Kraftigt missfärgad rotfylld framtand samt även slitna tänder. Behandling: 1 krona och 1 fasad.