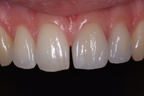
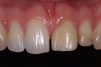
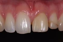
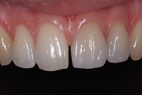
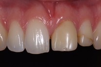
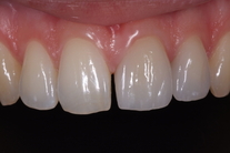
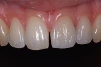
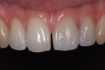
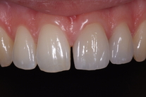
2 framtänder avslagna och tidigare lagade med composite. Behandling: Flyttat upp tandköttet med laser samt 2 porslinskronor.