Patientfall

1 Ojämn tandrad

2 Missfärgade tänder

3 Implantat och broar

4 Glesa tänder

5 Ojämna tänder

6 Ojämna framtänder

7 Skadade tänder

8 Invisalign - Tandreglering

9 Composite

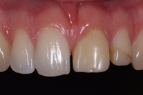
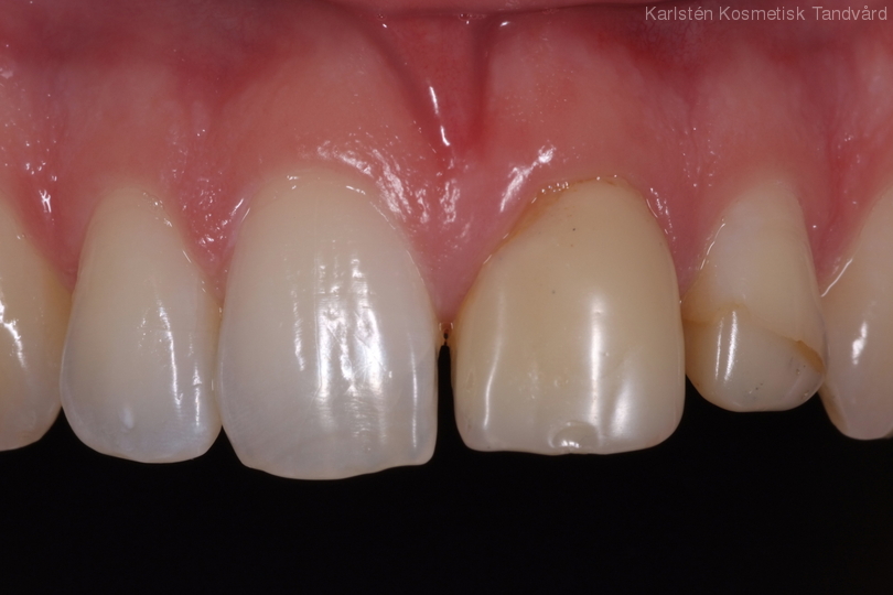
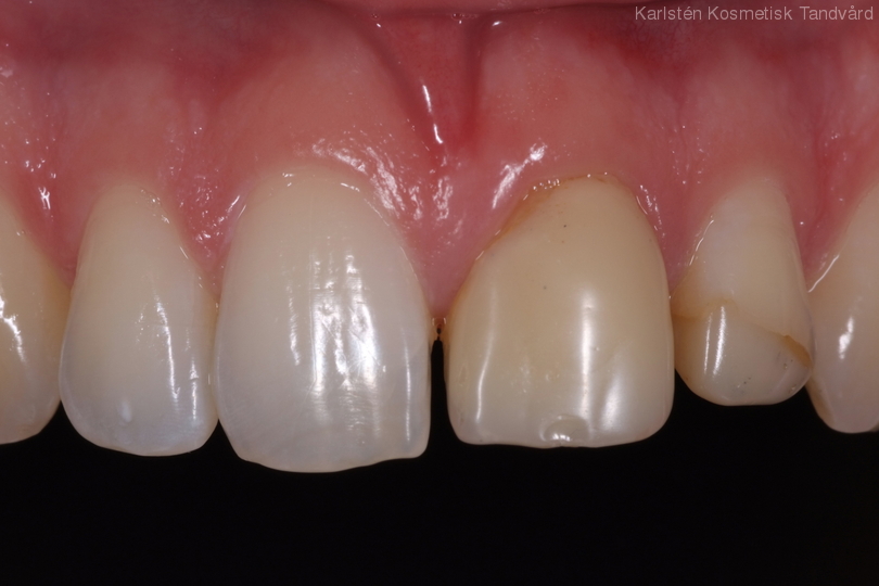
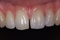
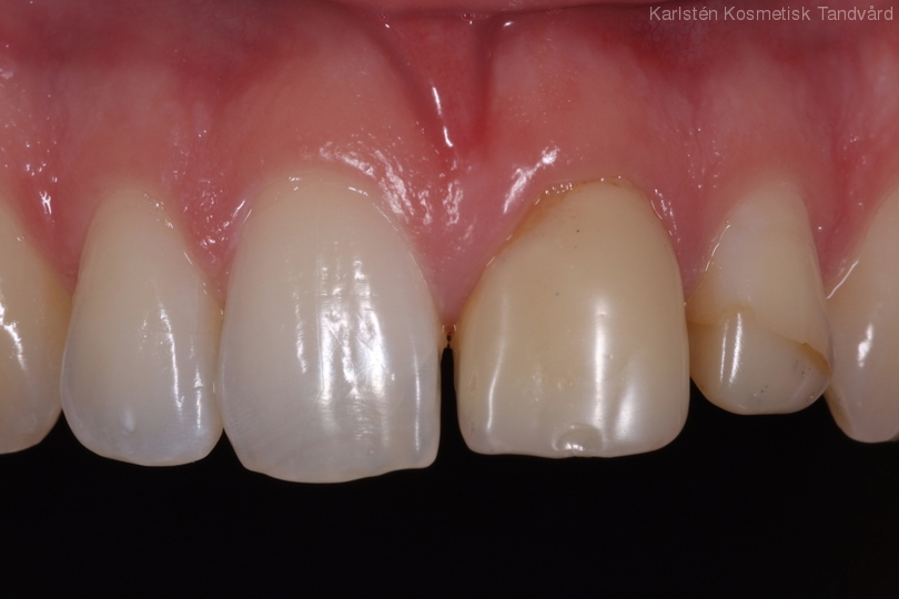
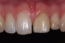
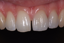
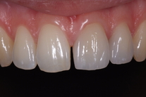
Förfining av 2 framtänder 13

2 framtänder avslagna och tidigare lagade med composite. Behandling: Flyttat upp tandköttet med laser samt 2 porslinskronor.