Patientfall

1 Ojämn tandrad

2 Missfärgade tänder

3 Implantat och broar

4 Glesa tänder

5 Ojämna tänder

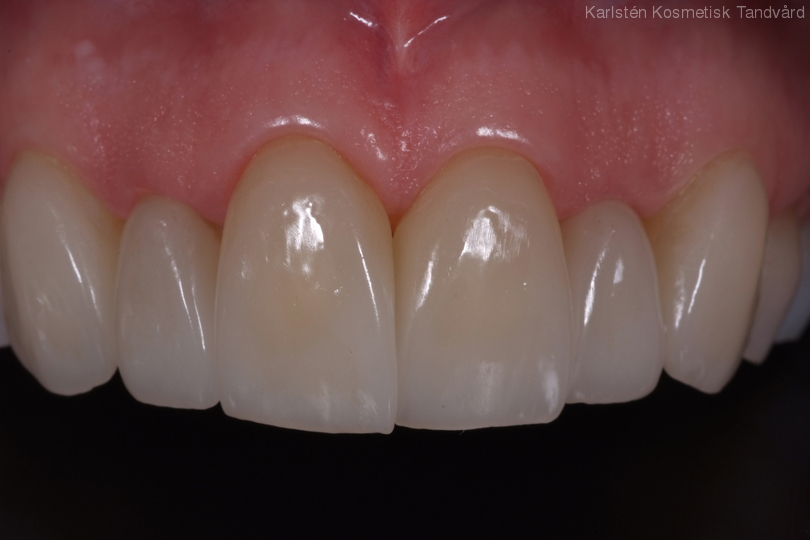
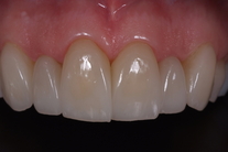
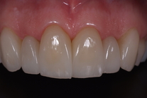
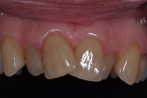
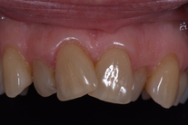
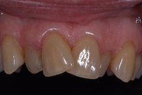
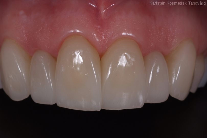
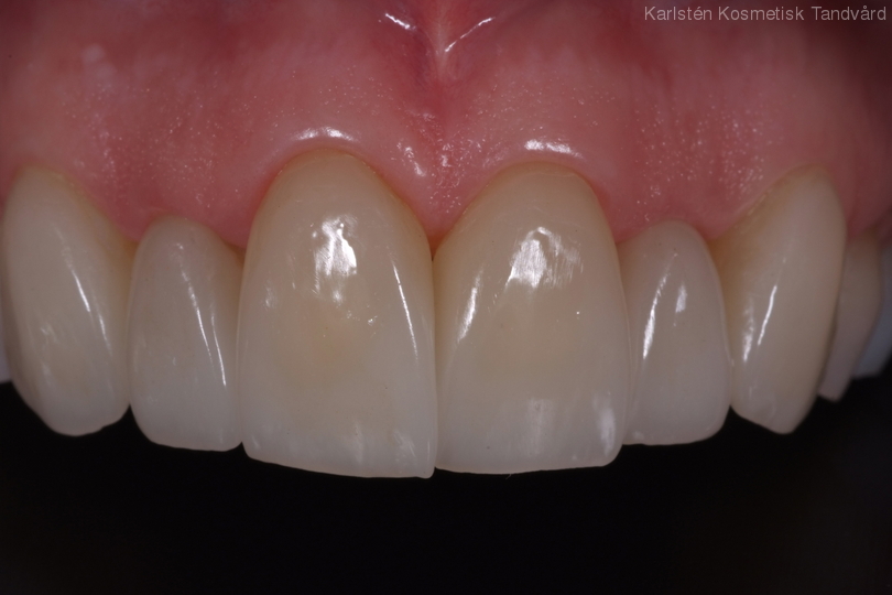
6 Ojämna framtänder

7 Skadade tänder

8 Invisalign - Tandreglering

9 Composite

Ojämna framtänder 7

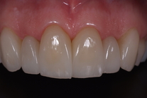
Kraftig trångställning och missfärgade tänder. Behandling: Generell blekning och 6 fasader i överkäken.