Patientfall

1 Ojämn tandrad

2 Missfärgade tänder

3 Implantat och broar

4 Glesa tänder

5 Ojämna tänder

6 Ojämna framtänder

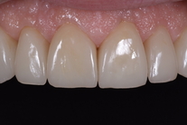
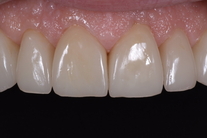
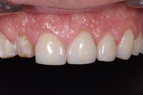
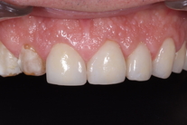
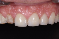
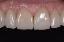
7 Skadade tänder

8 Invisalign - Tandreglering

9 Composite

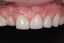
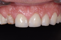
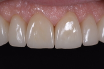
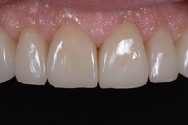
Skadade fasader 9

Gamla fasader som inte fungerar i bettet samt lossnar. Behandling: 28 tänder uppbyggda i en korrekt position samt höjning av bettet.