Patientfall

1 Ojämn tandrad

2 Missfärgade tänder

3 Implantat och broar

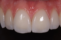
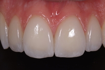
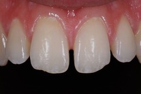
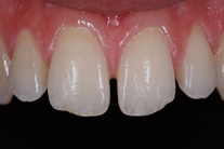
4 Glesa tänder

5 Ojämna tänder

6 Ojämna framtänder

7 Skadade tänder

8 Invisalign - Tandreglering

9 Composite

Glesa tänder 10

Glesa framtänder med mellanrum. Behandling: Generell blekning samt 4 fasader i överkäken.