Patientfall

1 Ojämn tandrad

2 Missfärgade tänder

3 Implantat och broar

4 Glesa tänder

5 Ojämna tänder

6 Ojämna framtänder

7 Skadade tänder

8 Invisalign - Tandreglering

9 Composite

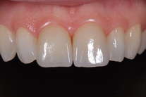
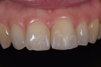
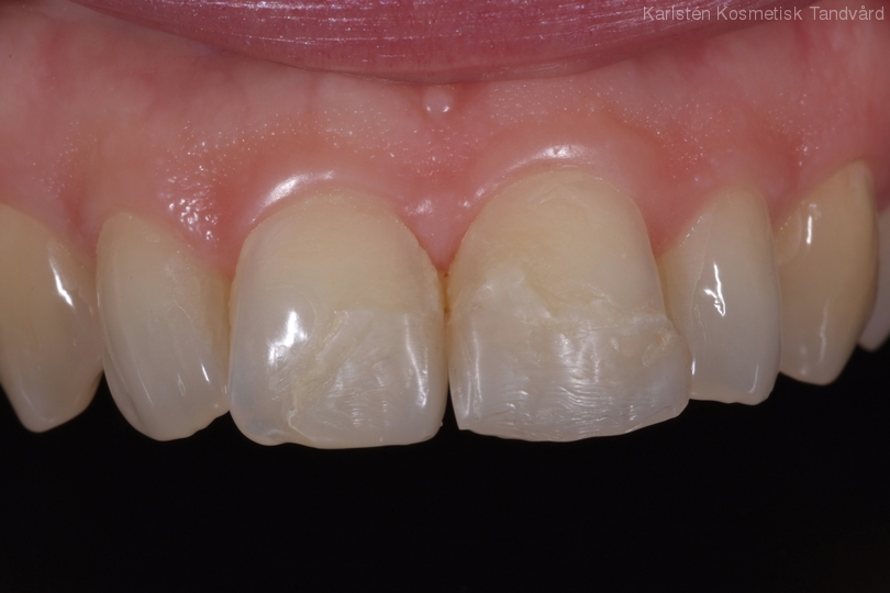
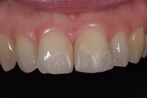
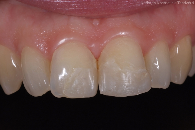
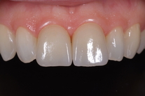
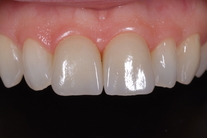
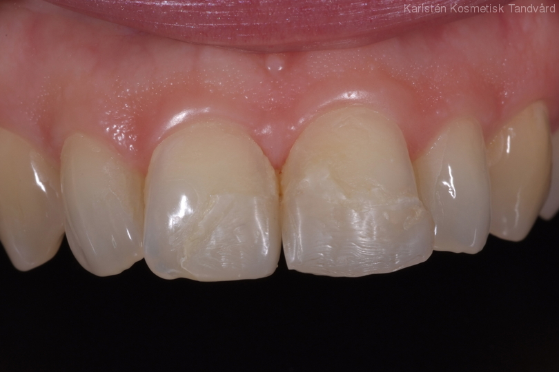
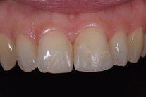
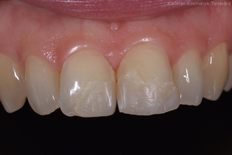
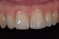
Skadade framtänder 12

Båda framtänderna skadade i cykelolycka och provisoriskt lagade med plastfyllningar. Behandling: Generell blekning samt 2 fasader på framtänderna.