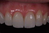
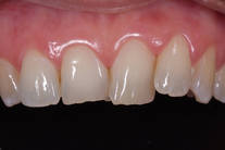
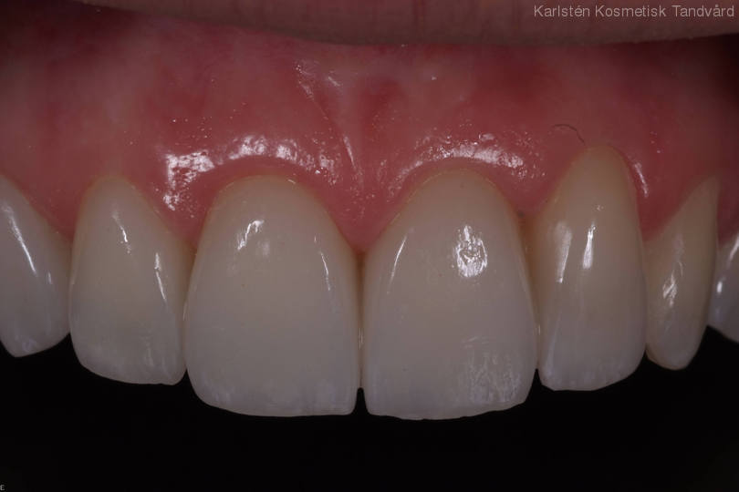
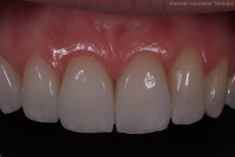
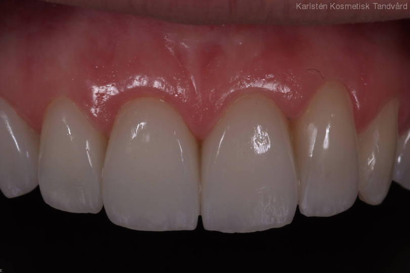
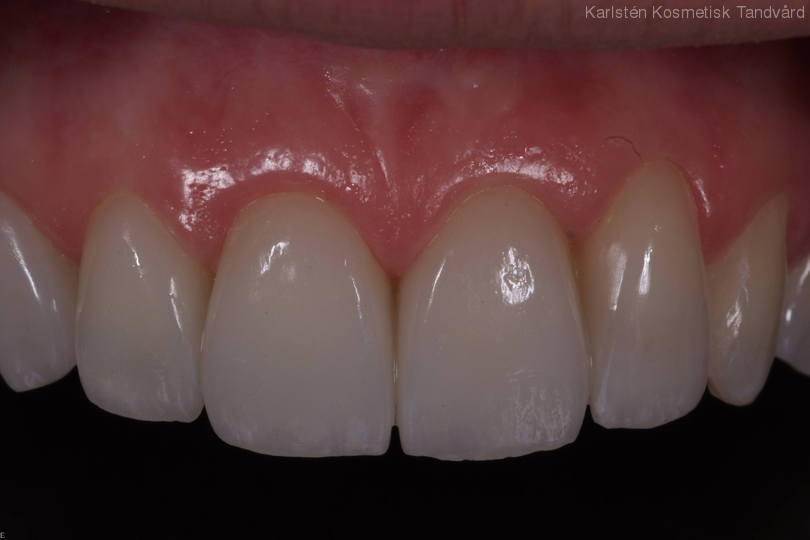
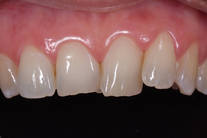
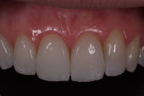
Trångställda och slitna framtänder. Behandling: Generell blekning, bettkorrigering samt laserkonturering av tandköttet och 5 fasader.