Patientfall

1 Ojämn tandrad

2 Missfärgade tänder

3 Implantat och broar

4 Glesa tänder

5 Ojämna tänder

6 Ojämna framtänder

7 Skadade tänder

8 Invisalign - Tandreglering

9 Composite

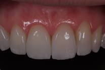
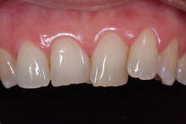
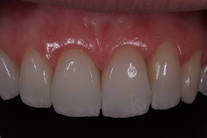
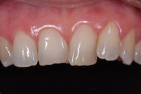
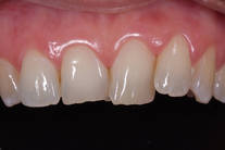
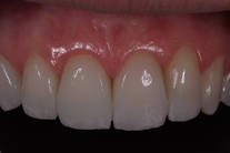
Ojämna, skadade tänder 10

Trångställda och slitna framtänder. Behandling: Generell blekning, bettkorrigering samt laserkonturering av tandköttet och 5 fasader.