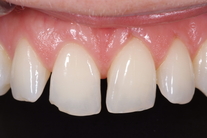
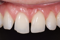
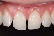
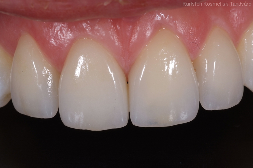
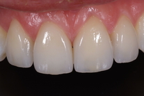
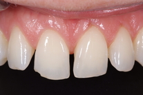
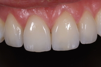
Glesa tänder som pekar åt olika håll samt är något skadade. Behandling: Generell blekning samt 4 fasader.