Patientfall

1 Ojämn tandrad

2 Missfärgade tänder

3 Implantat och broar

4 Glesa tänder

5 Ojämna tänder

6 Ojämna framtänder

7 Skadade tänder

8 Invisalign - Tandreglering

9 Composite

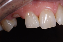
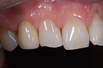
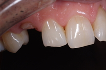
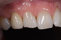
1 implantat hörntand 5

Trasig hörntand som måste tas bort. Behandling: Generell blekning samt 1 implantat.