Patientfall
1 Ojämn tandrad
Trångställda tänder 1
Trångställda tänder 2
Trångställda tänder 3
Trångställda tänder 4
Trångställda tänder 5
Trångställda tänder 6
Trångställda tänder 7
Trångställda tänder 8
Trångställda tänder 9
Trångställda tänder 10
Trångställda tänder 11
Trångställda tänder 12
Trångställda tänder 13
2 Missfärgade tänder
Missfärgade framtänder 1
Missfärgade framtänder 2
Missfärgade framtänder 3
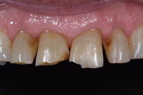
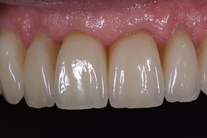
Skadade tänder 4
Missfärgade tänder 5
Missfärgad framtand 6
Missfärgade tänder 7
Missfärgade tänder 8
Missfärgade tänder 9
Förfining av 1 framtand 10
Förfining av tänder 11
Missfärgade tänder 12
Förfining av 2 framtänder 13
Förfining av tänder 14
Missprydande framtänder 15
Missprydande framtänder 16
Missfärgade tänder 17
3 Implantat och broar
Implantat framtand 1
2 Implantat framtänder 2
1 Implantat framtand 3
1 Implantat framtand 4
1 implantat hörntand 5
Bro på 6 tänder 6
Bro på 4 framtänder 7
Bro + fasader 8
2 broar på 7 tänder 9
1 implantat framtand 10
1 Implantat framtand 11
4 Glesa tänder
Glesa tänder 1
Glesa tänder 2
Glesa tänder 3
Glesa och skadade tänder 4
Glesa tänder 5
Glesa tänder 6
Glesa tänder 7
Glesa tänder 8
Glesa tänder 9
Glesa tänder 10
Glesa tänder 11
Glesa, missfärgade tänder 12
5 Ojämna tänder
Ojämna tänder 1
Ojämn hörntand 2
Ojämna tänder 3
Förfining av tänder 4
Ojämna skadade tänder 5
Förfining av tänder 6
Förfining av tänder 7
Förfining av tänder 8
Förfining av tänder 9
Förfining av tänder 10
Ojämna skadade tänder 11
6 Ojämna framtänder
Ojämna framtänder 1
Ojämna, små framtänder 2
Ojämna framtänder 3
Ojämn form på framtänder 4
Skadad framtand 5
Förfining av tänder 6
Ojämna framtänder 7
Missfärgade framtänder 8
Skadade fasader 9
Ojämna framtänder 10
Förfining av gamla kronor 11
Förfining av framtänder 12
Förfining av tänder 13
Ojämna framtänder 14
Förfining av ojämna framtänder 15
Förfining av ojämna framtänder 16
7 Skadade tänder
Förfining av skadade tänder 1
Skadade tänder 2
Förfining av tänder 3
Förfining av tänder 4
Förfining av tänder 5
Förfining av tänder 6
Förfining av tänder 7
Förfining av framtänder 8
Förfining av tänder 9
Ojämna, skadade tänder 10
Skadade framtänder 11
Skadade framtänder 12
Ojämna, skadade tänder 13
Syraskadade tänder 14
Förfining av tänder 15
Förfining av skadade tänder 16
Förfining av skadade tänder 17
8 Invisalign - Tandreglering
Tandreglering 1
Tandreglering 2
Tandreglering 3
Tandreglering 4
Tandreglering 5
9 Composite
Skadad framtand 1
Skadade framtänder 2
Skadade tänder 2
Kraftigt slitet och gnisslat bett. Behandling: 10 porslinskronor i överkäken.
Nästa
Föregående