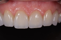
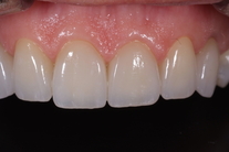
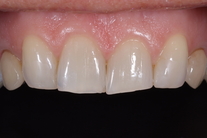
Skadade framtänder samt kvarvarande mjölktänder. Behandling: Generell blekning, laserkonturering av tandköttet samt benplastik, 4 fasader och 2 kronor.