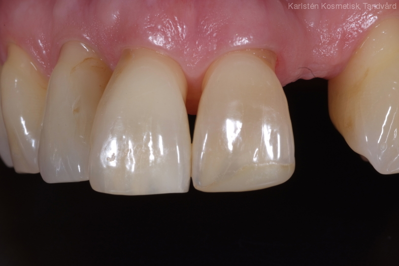
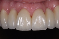
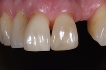
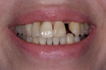
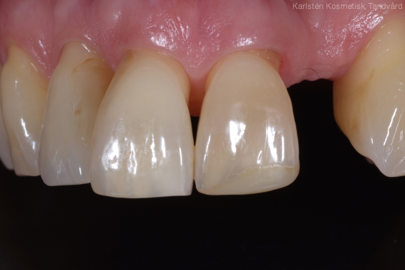
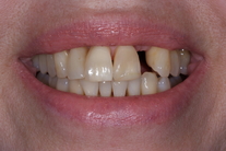
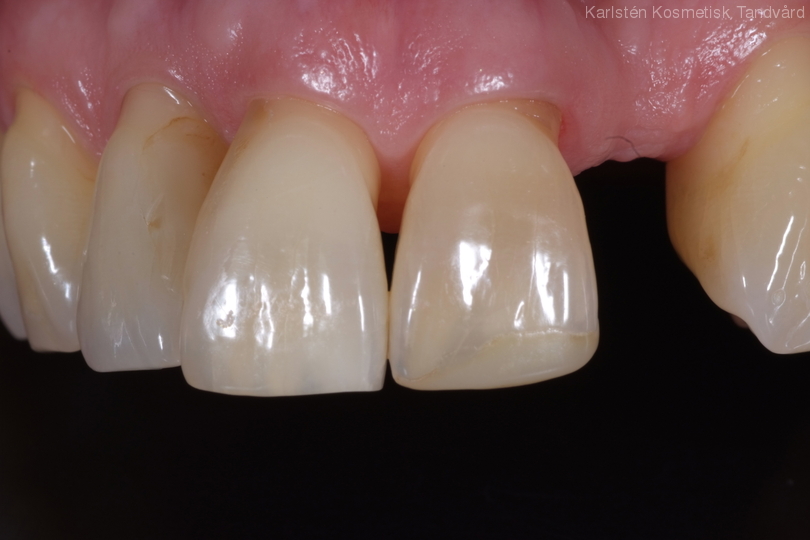
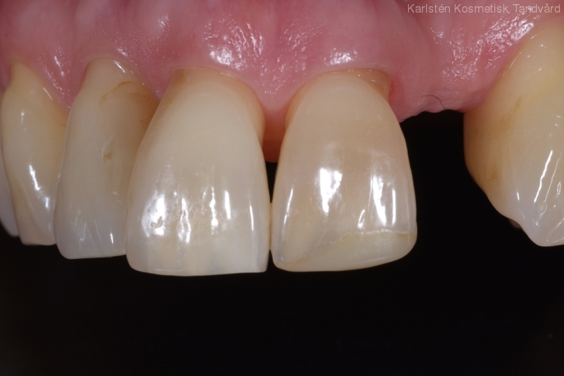
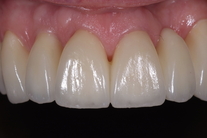
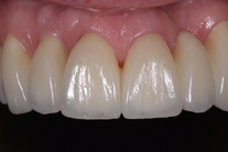
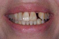
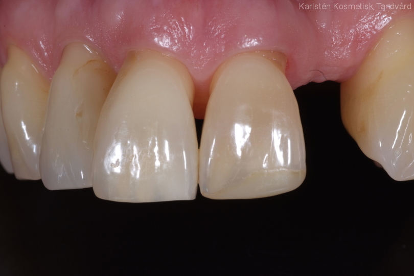
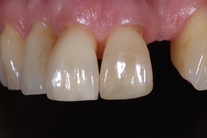
Missnöje med stora mellanrum och färg samt 1 saknad tand. Behandling: Generell blekning samt 2 kronor och 1 bro på 4 tänder i överkäken.