Patientfall

1 Ojämn tandrad

2 Missfärgade tänder

3 Implantat och broar

4 Glesa tänder

5 Ojämna tänder

6 Ojämna framtänder

7 Skadade tänder

8 Invisalign - Tandreglering

9 Composite

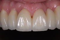
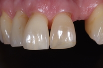
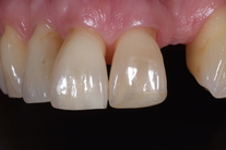
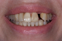
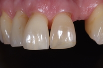
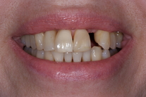
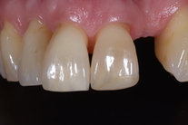
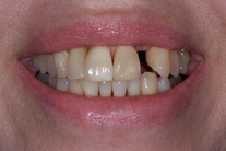
Bro på 6 tänder 6

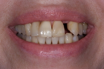
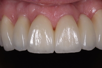
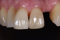
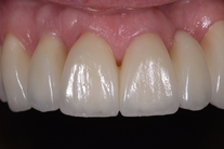
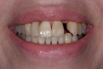
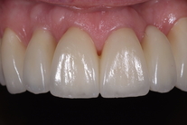
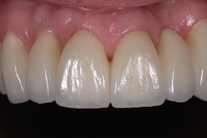
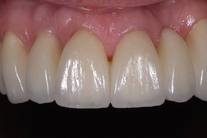
Missnöje med stora mellanrum och färg samt 1 saknad tand. Behandling: Generell blekning samt 2 kronor och 1 bro på 4 tänder i överkäken.