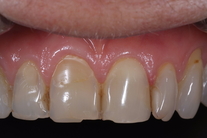
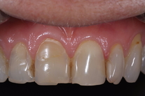
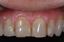
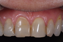
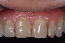
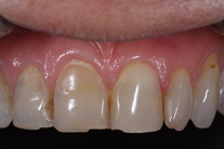
Slitna tänder med fyllningar och missfärgningar. Behandling: Generell blekning, 2 kronor på höger sida samt 4 fasader.