Patientfall

1 Ojämn tandrad

2 Missfärgade tänder

3 Implantat och broar

4 Glesa tänder

5 Ojämna tänder

6 Ojämna framtänder

7 Skadade tänder

8 Invisalign - Tandreglering

9 Composite

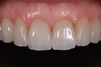
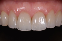
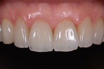
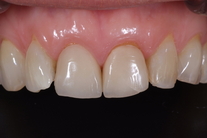
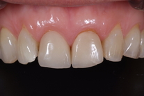
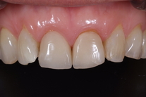
Förfining av tänder 4

2 gamla kronor som inte stämmer riktigt i form samt oregelbunden tandrad. Behandling: Generell blekning samt 5 porslinskronor.