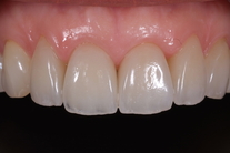
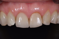
2 gamla kronor som inte stämmer riktigt i form samt oregelbunden tandrad. Behandling: Generell blekning samt 5 porslinskronor.