Patientfall

1 Ojämn tandrad

2 Missfärgade tänder

3 Implantat och broar

4 Glesa tänder

5 Ojämna tänder

6 Ojämna framtänder

7 Skadade tänder

8 Invisalign - Tandreglering

9 Composite

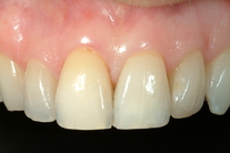
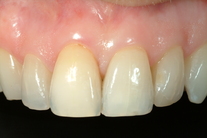
Missfärgade tänder 7

Önskemål om ljusare tänder med jämn färg och bättre tandform. Behandling: Generell blekning samt 10 fasader och 8 kronor i över- och underkäken.