Patientfall

1 Ojämn tandrad

2 Missfärgade tänder

3 Implantat och broar

4 Glesa tänder

5 Ojämna tänder

6 Ojämna framtänder

7 Skadade tänder

8 Invisalign - Tandreglering

9 Composite

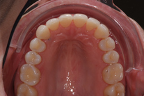
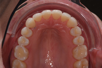
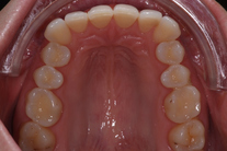
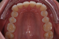
Tandreglering 5

32-årig kvinna som tycker att hon bara visar sina framtänder. En utjämning och vidgning av tandbågen med 8 månaders genomskinliga Invisalignskenor, gav henne ett fint leende.