Patientfall

1 Ojämn tandrad

2 Missfärgade tänder

3 Implantat och broar

4 Glesa tänder

5 Ojämna tänder

6 Ojämna framtänder

7 Skadade tänder

8 Invisalign - Tandreglering

9 Composite

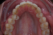
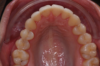
Tandreglering 1

Ung kvinna som tidigare haft tandreglering. Upplever inte att tänderna står i en fin tandbåge. 11 månaders behandling med genomskinliga Invisalignskenor resulterade i ett fint leende.